1
Leer más

La invasión más lenta
Homo sapiens requirió de 12 mil años, en tres diferentes oleadas, para colonizar Europa, desplazando a los neandertales.
...
2
Leer más

Vida y obra de Darwin en su correspondecia
Las colección completa de cartas personales de Charles Darwin ha sido completada y tiene acceso libre en esta página.
...
3
Leer más

La primera frase de la historia
La primera frase escrita que sobrevivió hasta el día de hoy ha sido descifrada.
...
5
Leer más

Decisiones cuantificadas
¿Con quién debes casarte? ¿Dónde debes vivir? ¿A qué dedicarle tu tiempo? Durante siglos, la gente ha confiado en sus instintos para responder a estas preguntas que cambian la vida para siempre. Ahora...
6
Leer más

Una ciudad está surgiendo del Océano Índico
Las Maldivas, en una posición crítica por culpa del cambio climático, está construyendo una ciudad flotante para miles de personas.
...
7
Leer más

Una tablilla babilónica y un matemático australiano
La historia de la geometría aplicada fue reescrita cuando un matemático de Australia descifró el objetivo de una tablilla de arcilla de hace 3700 años.
...
8
Leer más

La aleación más preciosa
Por primera vez se ha conseguido mezclar los ocho elementos de los metales preciosos en un solo material.
...
9
Leer más

¿Qué es más barato, la regadera o la tina?
Expertos ingleses contestan algunas preguntas sobre el ahorro de energía en el hogar.
...
10
Leer más

El cerebro durante la muerte
El hallazgo se produjo de manera accidental cuando un paciente bajo observación murió repentinamente.
...
11
Leer más

Una Pompeya neandertal
El Homo sapiens se aventuró en el territorio de los neandertales en Europa mucho antes de lo que se pensaba, según un nuevo estudio arqueológico.
...
12
Leer más

Efectos transgeneracionales de fumar
Las mujeres y las niñas cuyos abuelos o bisabuelos empezaron a fumar a una edad temprana tienden a tener más grasa corporal.
...
13
Leer más

Restos de sapiens de hace 230 mil años
Técnicas más precisas de datación le ponen nueva fecha a viejos restos humanos.
...
15
Leer más

Los seres humanos y los neandertales en Europa
¿Por qué los humanos modernos tardaron tanto en asentarse en Europa?
...
16
Leer más

El ejercicio contra la ansiedad
Tanto el ejercicio moderado como el extenuante alivian los síntomas de la ansiedad, incluso cuando el trastorno es crónico.
...
17
Leer más

Una historia desde Cop 26
Las historias personales de vidas afectadas por el cambio climático resuenan durante la cumbre Cop 26. He aquí una de ellas:
...
18
Leer más

La reina irritada
La cumbre climática Cop26 está por celebrarse en Glasgow y la reina Isabel critica a los líderes del mundo.
...
19
Leer más

Los robots que patrullan Singapore
Un nuevo proyecto de vigilancia masiva de ciudadanos.
...
20
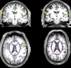
Leer más

Neuroimágenes antes y después de covid
Incluso los casos ligeros de covid dejan marcan permanentes en el cerebro.
...
21
Leer más

Contaminación en el hogar
Las estufas de gas producen niveles de contaminación en el hogar que serían ilegales al aire libre.
...
22
Leer más

Químicos tóxicos que duran para siempre
Algunos productos contienen compuestos químicos que pueden acumularse en tejidos vivos y nunca se degradan.
...
23
Leer más

La carne del futuro
La demanda global de carne está por los cielos y, para resolver una escasez inevitable en el futuro, la ciencia se apresura a desarrollar alternativas.
...
24
Leer más

Sillas de ruedas con interfaz cerebro-computadora
Un nuevo método de sillas de ruedas controladas por el cerebro humano alcanzará el 99% de fiabilidad de manejo.
...
25
Leer más

México le apuesta todo al carbón
La semana pasada, un reportaje del diario inglés The Guardian expuso la gravedad de la política energética México, enfocada en el pasado y contraria al resto de los países en el Grupo de los 20.
...
26
Leer más

La dieta durante la niñez y el microbioma en la edad adulta
Comer demasiada grasa o azúcar durante la infancia altera el microbioma de por vida.
...
27
Leer más

El poder nutritivo de las setas
El consumo diario de setas provee nutrientes básicos sin añadir calorías.
...
28
Leer más
Las consecuencias del confinamiento
Las consecuencias del confinamiento
Hace más de diez meses escribí un artículo explicando lo que se debía hacer para enfrentar la pandemia que comenzaba. Pero sobre todo, para dejar claro lo que no...
29
Leer más
La preferencia por los fractales
Un nuevo estudio ha revelado que los niños, antes de cumplir tres años, prefieren patrones fractales visuales comunes en la naturaleza que las líneas simples e irrepetibles de su entorno construid...
30
Leer más
Correlación entre Alzheimer y el microbioma
Investigadores suizos han comprobado cierta correlación entre la enfermedad de Alzheimer y un imbalance en la composición del microbioma del sistema digestivo.
...
31
Leer más
La vacuna de Pfizer contra el covid tiene 90% de efectividad
El gigante farmacéutico Pfizer ha anunciado que su candidato de vacuna demostró una efectivad mayor al 90%.
...
32
Leer más
Estados Unidos regresará al Acuerdo de París bajo Biden
Joe Biden, el presidente electo de Estados Unidos, ha prometido reintegrarse al Acuerdo de París.
...
33
Leer más
Estados Unidos abandona el acuerdo de París
Esta semana, Estados Unidos dejó de formar parte del Acuerdo de París para la reducción de emisiones de gases de efecto invernadero.
...
34
Leer más
Trastorno por estrés postraumático en la antigüedad
Textos mesopotamios de hace hasta 3300 años describen síntomas del trastorno por estrés postraumático en la antigüedad o TEPT.
...
35
Leer más
Primer ADN denisovano fuera de Siberia
El hombre de Denísova, identificado en 2010, habitó las altiplanicies tibetanas durante decenas de miles de años.
...
36
Leer más
Las epidemias más letales de la historia
¿Cuáles han sido las epidemias más mortíferas en el registro histórico?
...
37
Leer más
Microevolución contemporánea
En la actualidad nacen más personas sin dientes del juicio y con una arteria supernumeraria.
...
38
Leer más
SARS-CoV-2 sobrevive hasta nueve horas en la piel
A diferencia del virus de la influenza tipo A, que sólo sobrevive dos horas.
...
39
Leer más
Huellas humanas de hace 115 mil años
Huellas humanas de hace 115 mil años han sido halladas en Arabia.
...
40
Leer más
Desvendando momias
En la Inglaterra victoriana, algunos científicos desenvolvían momias en nombre de la ciencia y por diversión.
...
41
Leer más
Triunfo de las vacunas contra la polio en África
En 1996, 75 mil niños de África quedaron paralizados por la poliomielitis. Hoy, el continente ha sido declarado libre de esta enfermedad.
...
42
Leer más
Las líderes contra Covid-19
Los países dirigidos por mujeres contuvieron mejor la pandemia.
...
43
Leer más
Oaxaca prohíbe ventas de refrescos y comida chatarra a niños
El estado mexicano de Oaxaca ha prohibido la venta de comida chatarra y bebidas endulzadas a menores de edad.
...
44
Leer más
Declive de funciones cognitivas en baby boomers
Los baby boomers de Estados Unidos obtuvieron calificaciones más bajas en un examen de función cognitiva que miembros de generaciones anteriores.
...
45
Leer más
Las mascarillas contra el SARS-CoV-2
Las mascarillas protegen a quien las usa y a los demás.
...
46
Leer más
Anticuerpos contra el nuevo coronavirus en España
La población de España sólo ha desarrollado un 5% de anticuerpos contra el SARS-CoV-2.
...
47
Leer más
Candidatos de vacuna contra el COVID-19
8 vacunas para prevenir el COVID-19 se encuentran ya en la fase de ensayos clínicos en seres humanos.
...
48
Leer más
¿El ocaso de la industria del carbón?
Tras 200 años de uso ininterrumpido, la industria del carbón ha alcanzado sus límites.
...
49
Leer más
Los choctaw y los irlandeses, 173 años después
Espíritus afines, de una hambruna a una pandemia.
...
50
Leer más
Lecciones para controlar la pandemia
Los gobiernos de estos cuatro países nos enseñan como lidiar con una epidemia.
...


