Neuroimágenes antes y después de covid

Neuroimágenes antes y después de covid

Incluso los casos ligeros de covid dejan marcan permanentes en el cerebro.

Ya quedaron atrás 20 meses de pandemia y, entre otras cosas, han dejado una enorme cantidad de información para analizar. Investigadores en todo el mundo han estudiado diferentes facetas de los efectos de covid en el cuerpo y el cerebro humanos. El hallazgo de un estudio reciente realizado en el Reino Unido es en particular inquietante pues el coronavirus parece tener una influencia de largo plazo en procesos como el envejecimiento.

Este estudio de gran amplitud, hecho público en una versión preliminar de medRxiv en agosto, fue posible gracias a la existencia de una base de datos anterior a la pandemia: el UK Biobank, que contiene imágenes cerebrales de alrededor de 45 mil personas, de 2014 a 2019. Los científicos, del Departamento de Neurociencias Clínicas de la Universidad de Oxford, realizaron análisis comparativos con nuevas neuroimágenes de personas que poseían un registro en el Biobank y, posteriormente, habían sido diagnosticados covid positivos. El grupo de control fueron personas nunca infectadas por el virus, seleccionados en base a su edad, sexo y geografía, así como en factores de riesgo similares, tales como estado socieconómico y condición física.

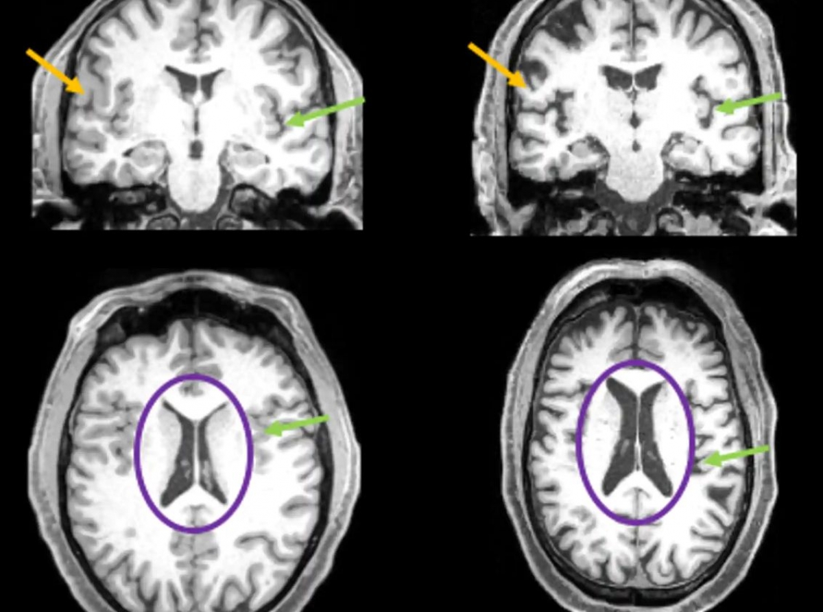
El equipo pronto se percató de diferencias profundas en la cantidad de materia gris entre las personas que sufrieron de covid y las que no. En especial, la densidad de materia gris en tejidos cerebrales de los lóbulos frontal y temporal fue más reducida en el grupo que tuvo covid. En el grueso de la población general, es normal observar algunos cambios en el volumen o grueso de la materia gris según el individuo envejece, pero los cambios en el caso de los sujetos que tuvieron covid fueron anormalmente mayores que el promedio. Cabe notar que, cuando los investigadores separaron al grupo de individuos que requirieron hospitalización for efecto del covid, los resultados fueron iguales que en aquellos que experimentaron un caso más leve. Es decir, las personas infectadas con covid presentaron una pérdida de volumen cerebral aun cuando la enfermedad no requirió de hospitalización.

 El efecto de covid en el cerebro

Además, los sujetos del estudio también realizaron pruebas de el desempeño de tareas cognitivas; los investigadores descubrieron que quienes adquirieron covid procesaban la información con más lentitud, comparados con quienes nunca tuvieron covid. Ahora bien, como se advirtió, este estudio está todavía en la fase de revisión por pares. Lo que lo hace valioso es la inclusión de una gran cantidad de personas del Biobank que después sufrieron de covid: 785 personas.

¿Qué significan estos cambios en el volumen cerebral? Casi desde el inicio de la pandemia, uno de los síntomas más comúnmente reportados fue el de la pérdida de los sentidos del gusto y el olfato. Curiosamente, todas las regiones afectadas del cerebro que los autores de este estudio vieron en sujetos recuperados de covid están ligados al bulbo olfatorio, una estructura cercana a la región frontal del cerebro que transfiere señales olfativas desde la nariz a otras regiones del cerebro. El bulbo olfatorio tiene conexiones con regiones del lóbulo temporal; comúnmente nos referimos al lóbulo temporal en el contexto del envejecimiento y la enfermedad de Alzheimer porque ahí se ubica el hipocampo, que tiene un rol clave en el proceso de envejecer dada su función en procesos cognitivos y de la memoria.

Los hallazgos de este estudio traen consigo nuevas preguntas que requerirán respuesta: ¿Qué significarán estos cambios tras un episodio de covid para el proceso y el ritmo de envejecimiento? ¿El cerebro se recuperará con el tiempo de esta infección viral?

 

 

Autor: Misha Ketchell

Fuentes: Imágenes cerebrales antes y después de covid-19 en bases de datos del Reino Unido

Incluso en casos leves, el covid puede dejar una marca en el cerebro

Traducción: IIEH

No hay comentarios aún en “Neuroimágenes antes y después de covid” .

Otros Artículos

© 2026 IIEH.com, todos los derechos reservados.