El Homo sapiens se aventuró en el territorio de los neandertales en Europa mucho antes de lo que se pensaba, según un nuevo estudio arqueológico.
Todos los artículos
Las mujeres y las niñas cuyos abuelos o bisabuelos empezaron a fumar a una edad temprana tienden a tener más grasa corporal.
¿Por qué los humanos modernos tardaron tanto en asentarse en Europa?
La cumbre climática Cop26 está por celebrarse en Glasgow y la reina Isabel critica a los líderes del mundo.
Técnicas más precisas de datación le ponen nueva fecha a viejos restos humanos.
Tanto el ejercicio moderado como el extenuante alivian los síntomas de la ansiedad, incluso cuando el trastorno es crónico.
Un nuevo proyecto de vigilancia masiva de ciudadanos.
Un nuevo salto en la búsqueda de la energía de fusión.
Las historias personales de vidas afectadas por el cambio climático resuenan durante la cumbre Cop 26. He aquí una de ellas:
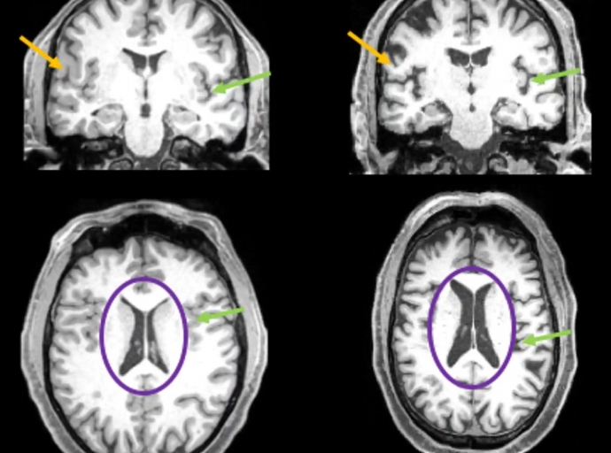
Incluso los casos ligeros de covid dejan marcan permanentes en el cerebro.
